
CLEAN & SEAL CONCEPT
Step one in mucogingival surgery
Praktický workshop mukogingivální chirurgie
Zúčastněte se našeho intenzivního akreditovaného (5 kreditů ČSK) kurzu pod vedením evropské paradontologické kapacity.
Dr. Żurek je mimojiné spoluautorem patentu na materiály pro krytí recesí i setu mikrochirurgických nástrojů.
V prvé řadě je specialistou, který má za sebou více než 2 000 úspěšných gingiválních štěpů.

Co vás čeká?
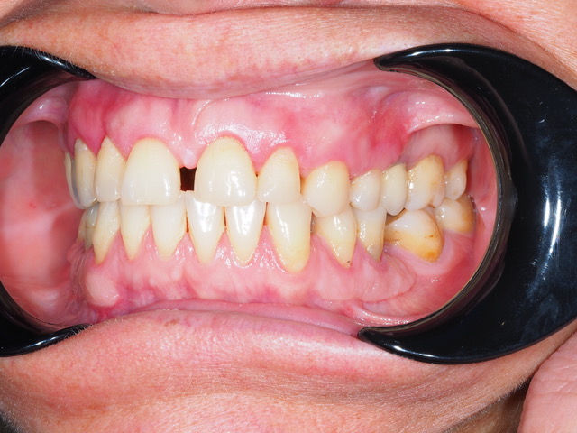
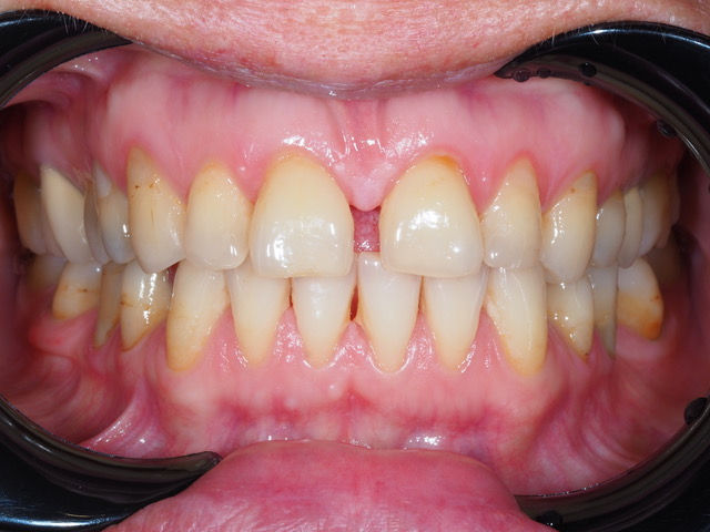
Kurz je postavený na praxi a krokových postupech. V první části si vysvětlíme, jak Clean & Seal využít v každodenní parodontologické praxi, a následně si vše vyzkoušíte na zubním modelu – včetně odstranění zubního kamene kyretami a aplikace konceptu krok za krokem. Ve druhé části se zaměříme na mukogingivální chirurgii: naučíte se odběr volného gingiválního štěpu z patra (Free Gingival Graft), precizní šicí techniky a použití cross-linkované kyseliny hyaluronové pro předvídatelnější hojení a estetičtější výsledek.
Program
Kurz kombinuje stručnou, jasně strukturovanou teorii s intenzivní praktickou částí. V první části se zaměříme na Clean & Seal koncept v parodontologii a jeho krokovou aplikaci v praxi. Ve druhé části navážeme mukogingivální chirurgií včetně odběru volného gingiválního štěpu z patra, precizního šití a využití cross-linkované kyseliny hyaluronové pro lepší hojení a estetiku.
Part 1: Clean & Seal Concept in periodontology
-
How to apply the Clean & Seal Concept in daily periodontal practice
-
Hands-on training on a tooth model:
-
a) calculus removal using curettes
-
b) step-by-step application of the Clean & Seal approach
-
Part 2: Mucogingival surgery
-
Free Gingival Graft harvesting from the palate — step by step
-
How to place precise, stable sutures around the graft
-
How to use cross-linked hyaluronic acid for predictable healing and superior aesthetic outcomes after surgery

dr n. med. Jacek Żurek
dr n. med. Jacek Żurek absolvoval Slezskou lékařskou akademii v Katovicích, stomatologické oddělení v Zabrze (2004). Dlouhodobě působil na Oddělení onemocnění parodontu a sliznic Slezské lékařské univerzity v Katovicích (2006–2013), kde byl lektorem cyklu školení LEP-etytorium (2007–2010). Je autorem a spoluautorem řady vědeckých prací z oblasti parodontologie, konzervační stomatologie a ortodoncie publikovaných v polských i zahraničních odborných časopisech a přednáší na vědeckých sympoziích i praktických workshopech z parodontologie. V roce 2016 získal titul dr. n. med. v oboru parodontologie; doktorskou práci s názvem „Klinické hodnocení krytí gingiválních recesí za použití alogenního biostatického štěpu fascia lata“ obhájil na Wroclawské lékařské univerzitě.
Je spoluautorem patentu na alogenní materiál určený ke krytí mnohočetných gingiválních recesí bez nutnosti odběru štěpu dásně z patra a také autorského setu mikrochirurgických nástrojů. V současnosti působí na Katedře stomatochirurgie Wroclawské lékařské univerzity. Věnuje se parodontologii, implantologii a léčbě periimplantitidy; zvláště se specializuje na gingivální štěpy. Od roku 2010 provedl již více než dva tisíce úspěšných zákroků. Spolupracuje s ortodontisty a pomáhá s přípravou pacientů na ortodontickou terapii. Profesně se zaměřuje na léčbu s využitím růstových faktorů (CGF) a biologické metody s použitím biomateriálů z tkáňové banky; od roku 2013 úzce spolupracuje s Katowickou tkáňovou bankou. Zabývá se také získáváním kostního substitutu ze zubů pacienta určených k extrakci (např. zubů moudrosti), používá metodu procesování zubu, pomáhá s návrhem personalizovaných alogenních kostních štěpů a spolupracuje s prof. Marzenou Dominiak.
Zaregistrujte se včas
Počet míst je omezený – zajistěte si své místo na kurzu dříve, než bude plno.
Pro registraci nejprve vyberte v rozbalovací nabídce kurz „Clean & Seal Concept“ a poté vyplňte formulář níže.
Po odeslání vás budeme kontaktovat s potvrzením registrace a dalšími informacemi.








